GIACOMO

Malocclusione di 2 classe 2 divisione dentale e scheletrica con importante morso coperto traumatico in giovane adolescente 

 

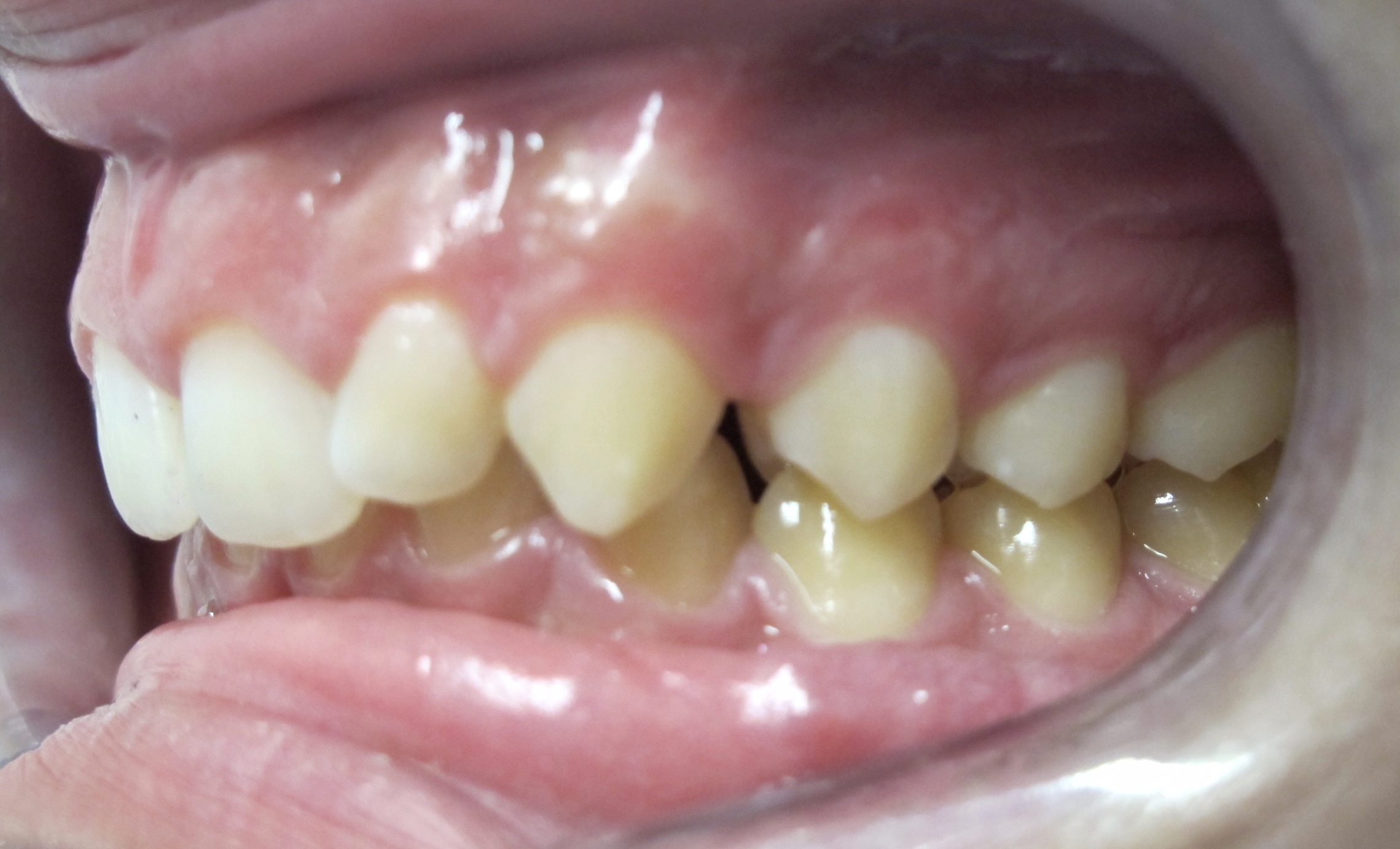
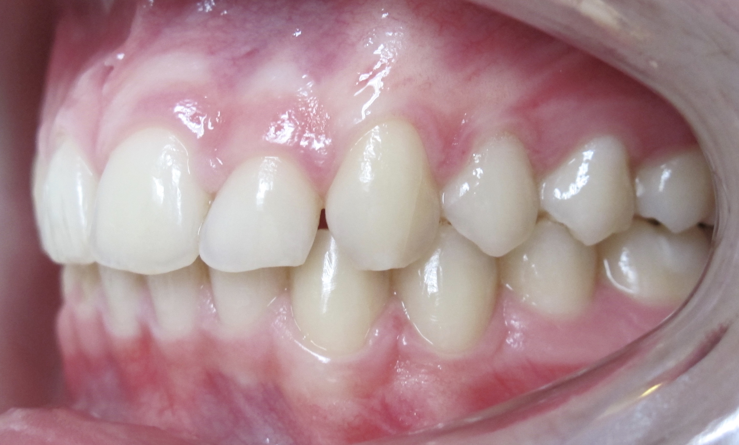
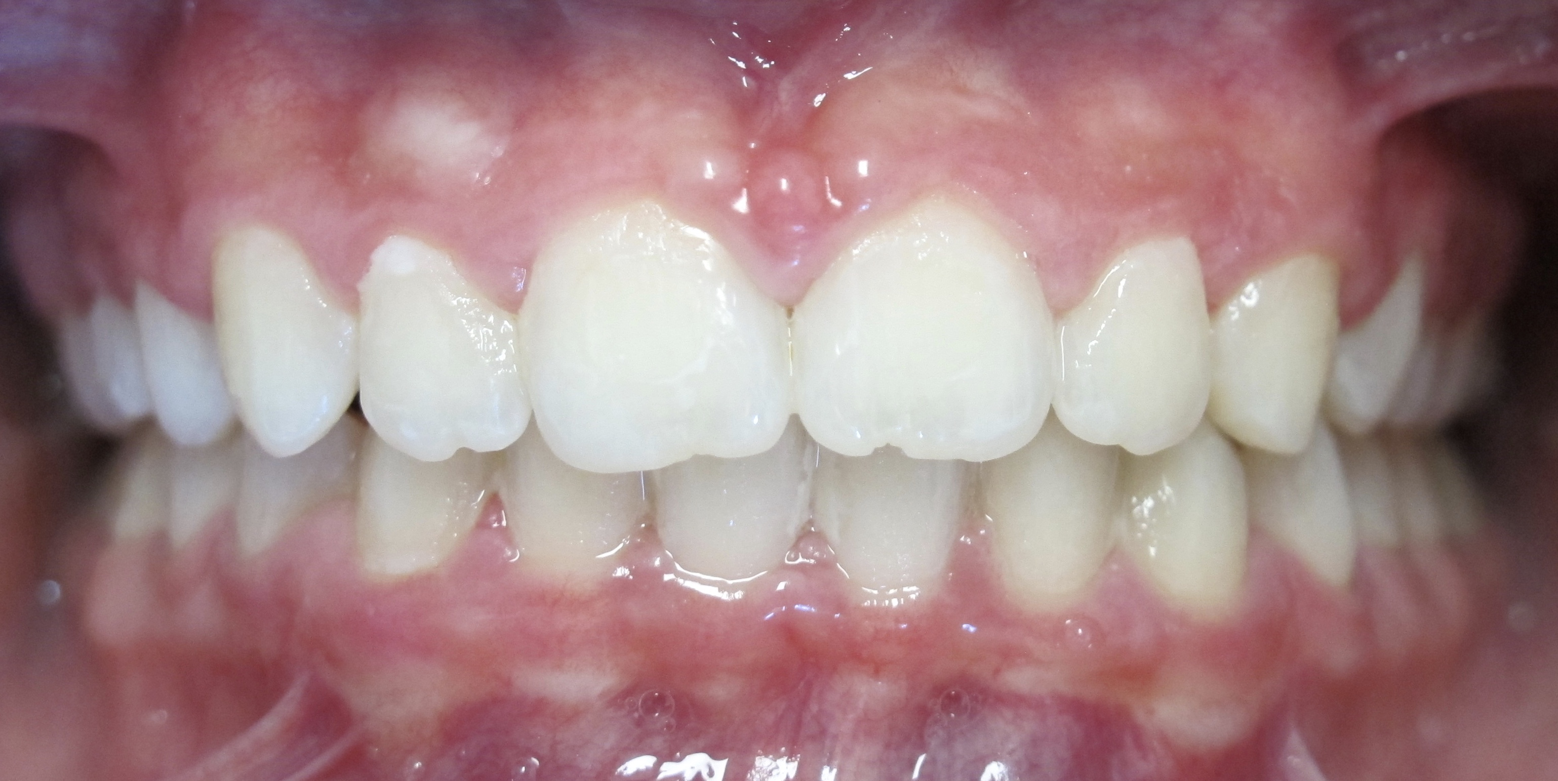
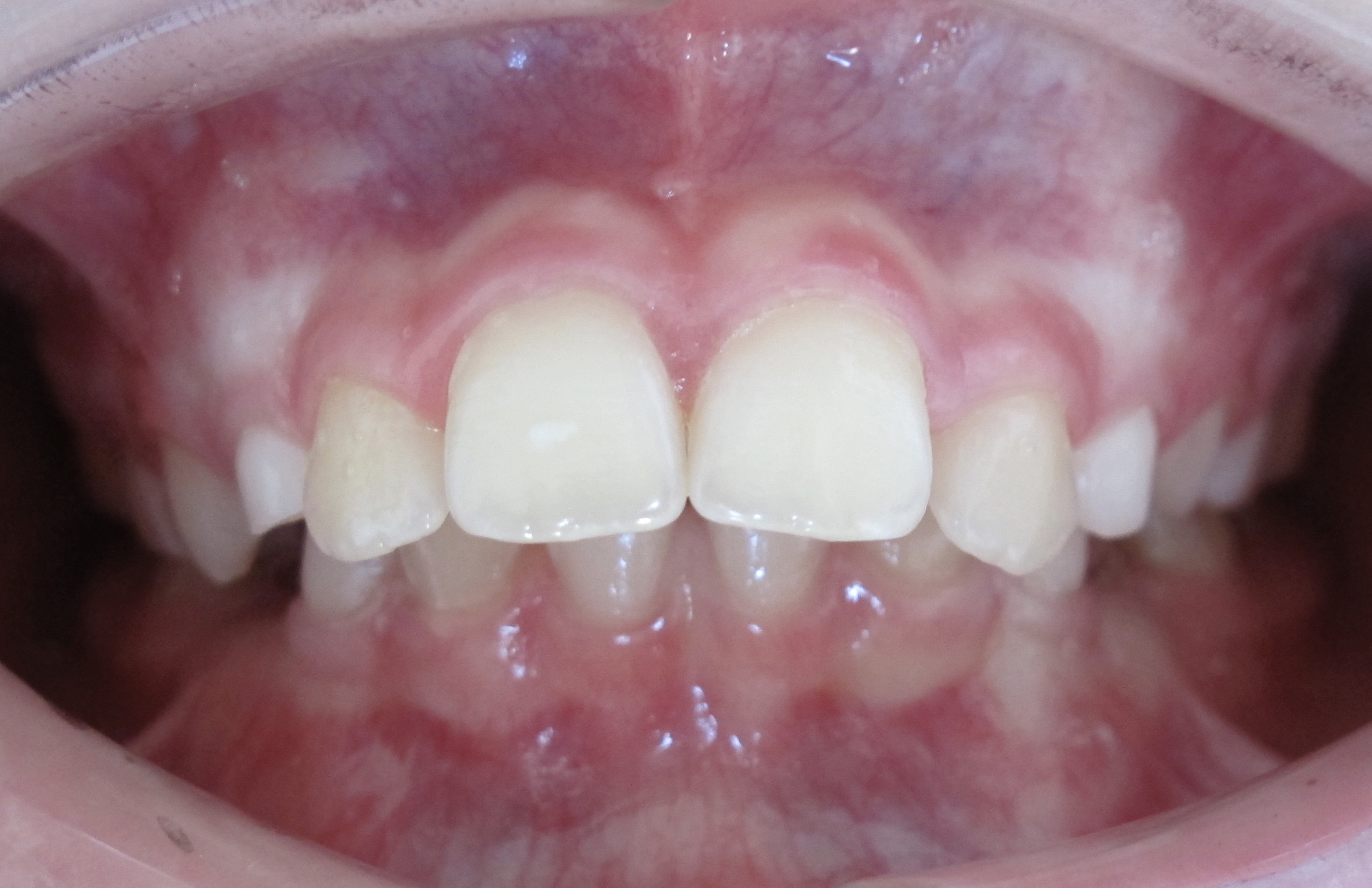
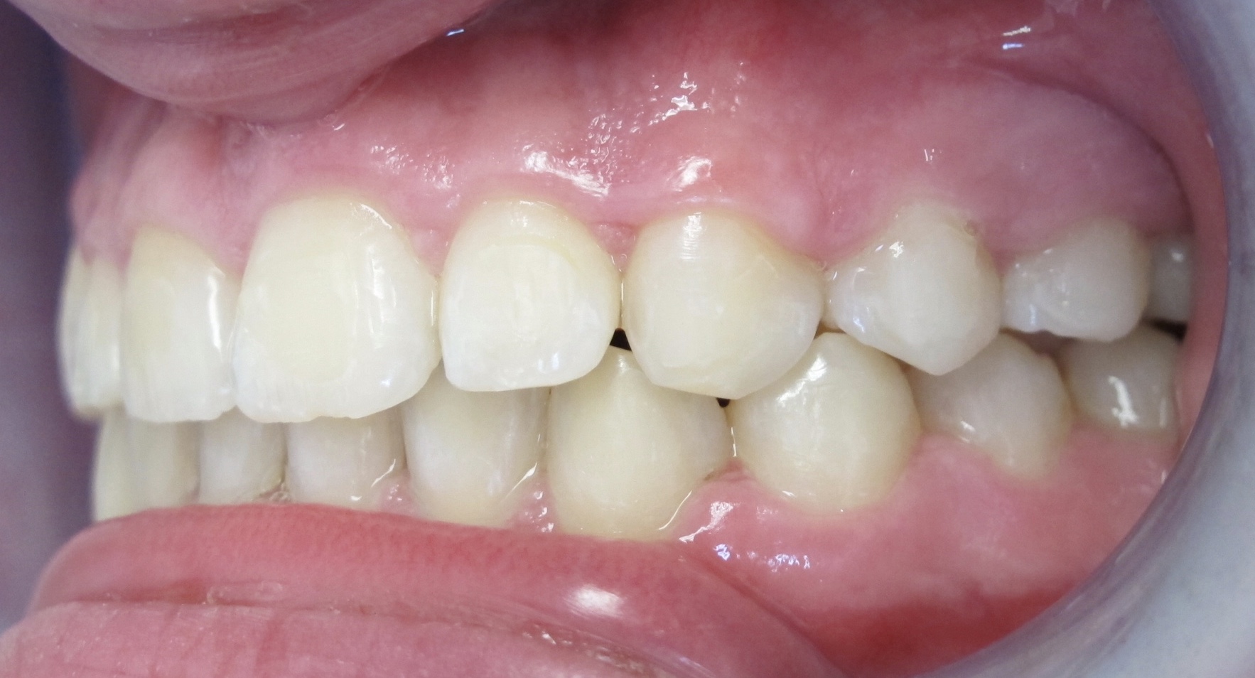
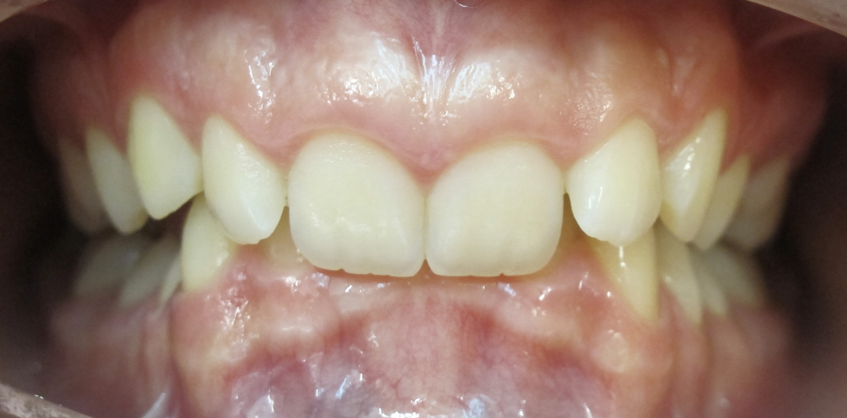
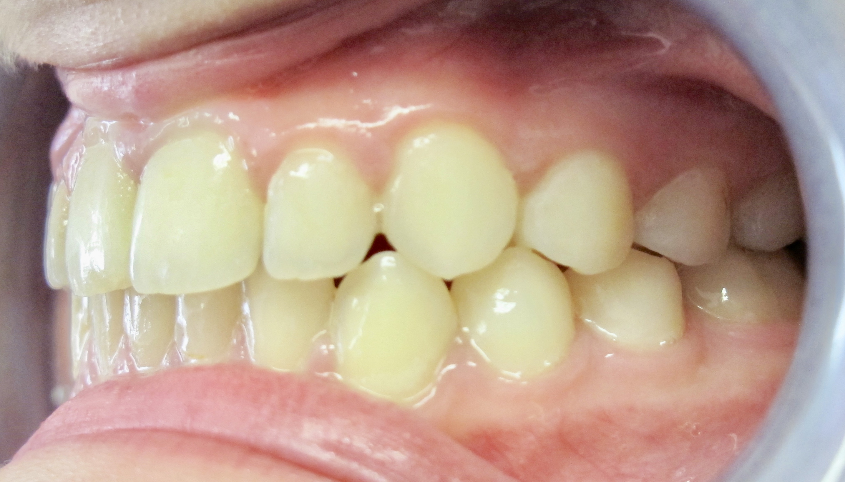
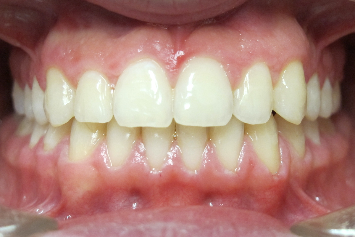
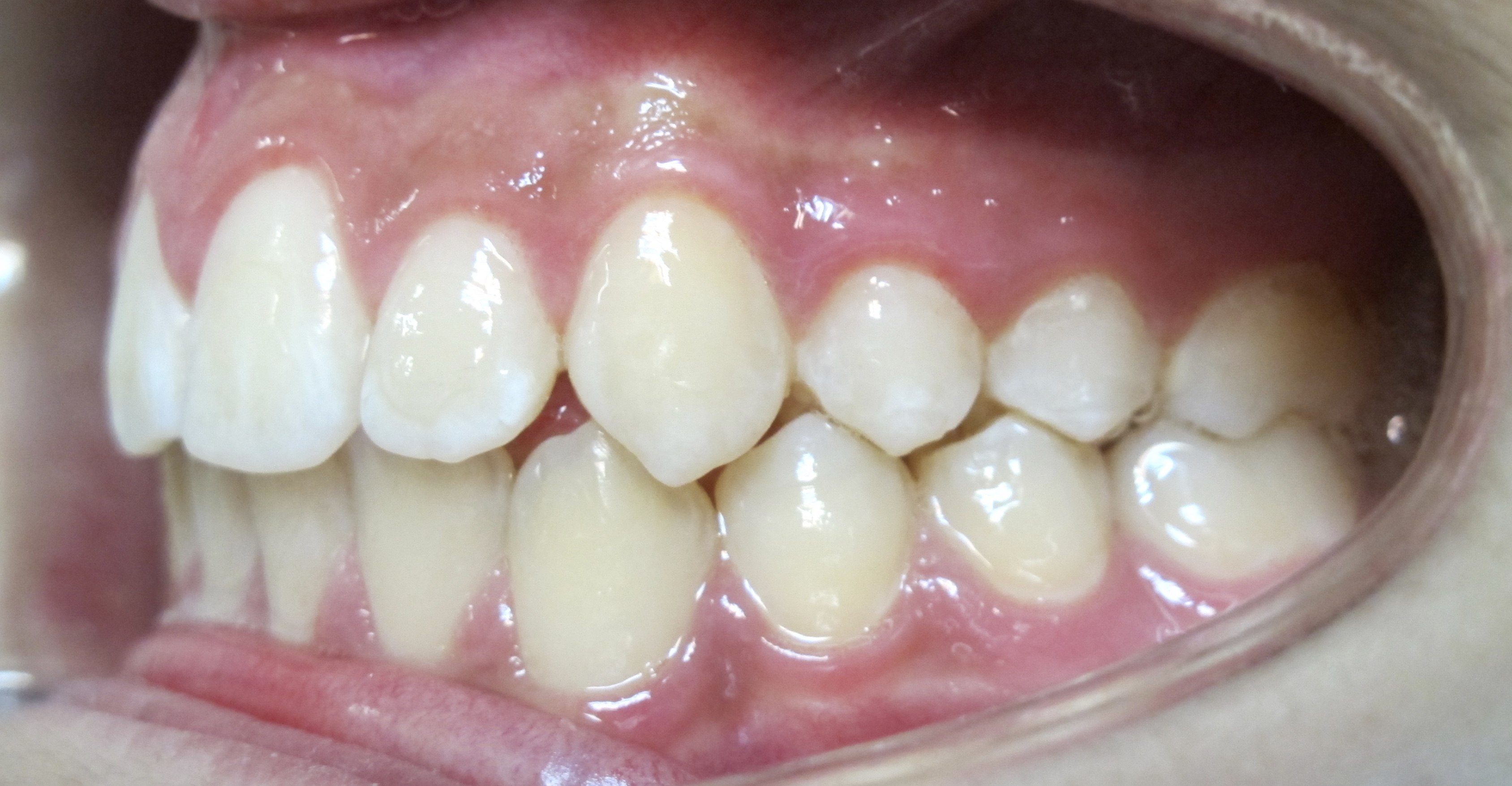
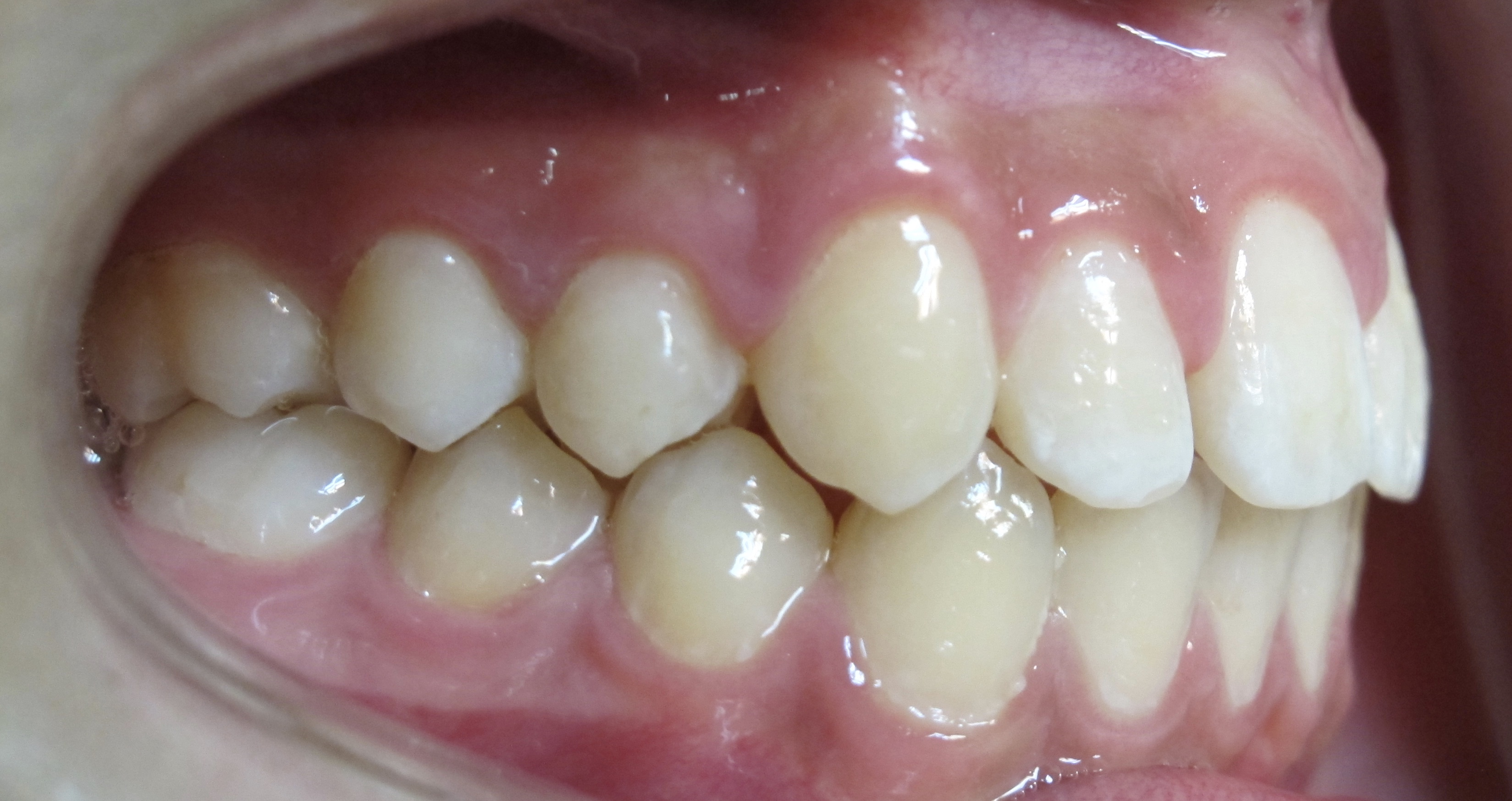
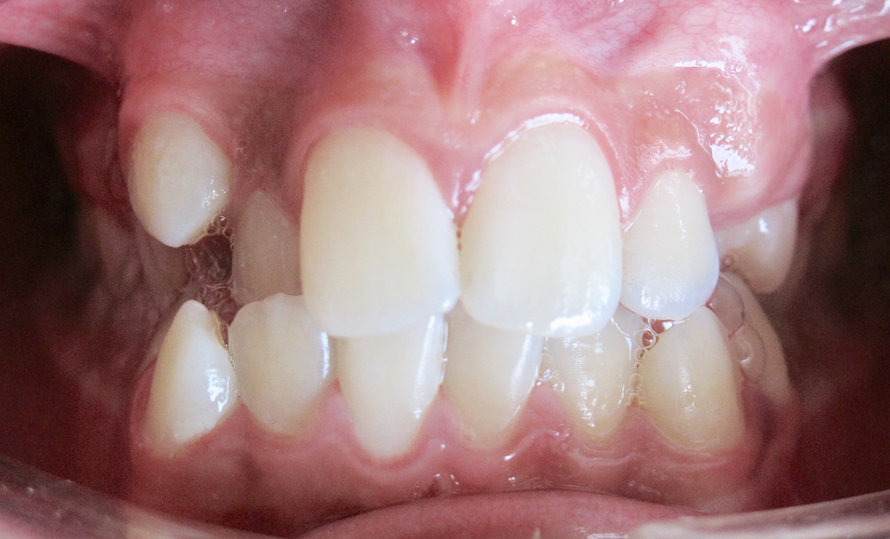
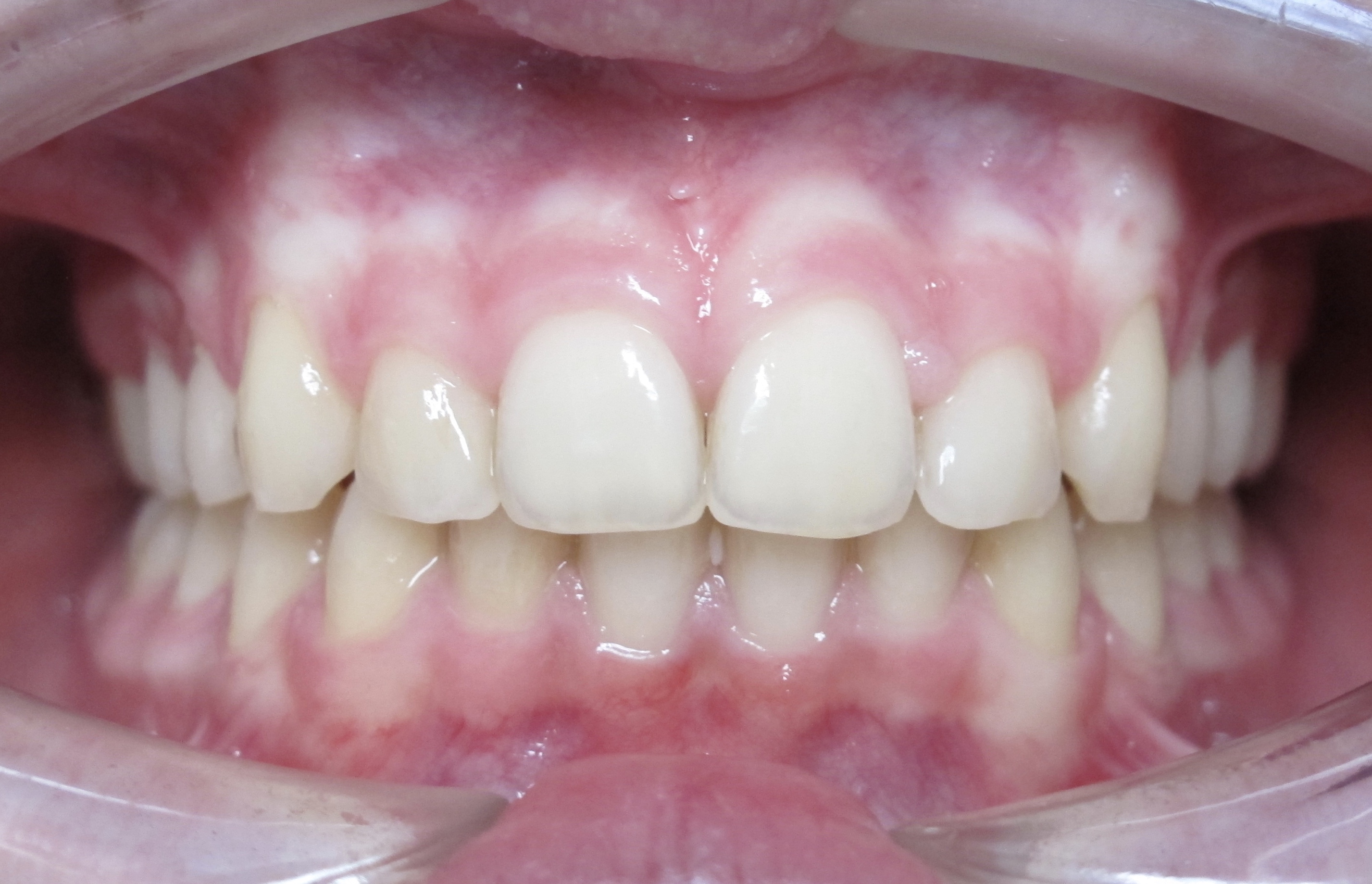
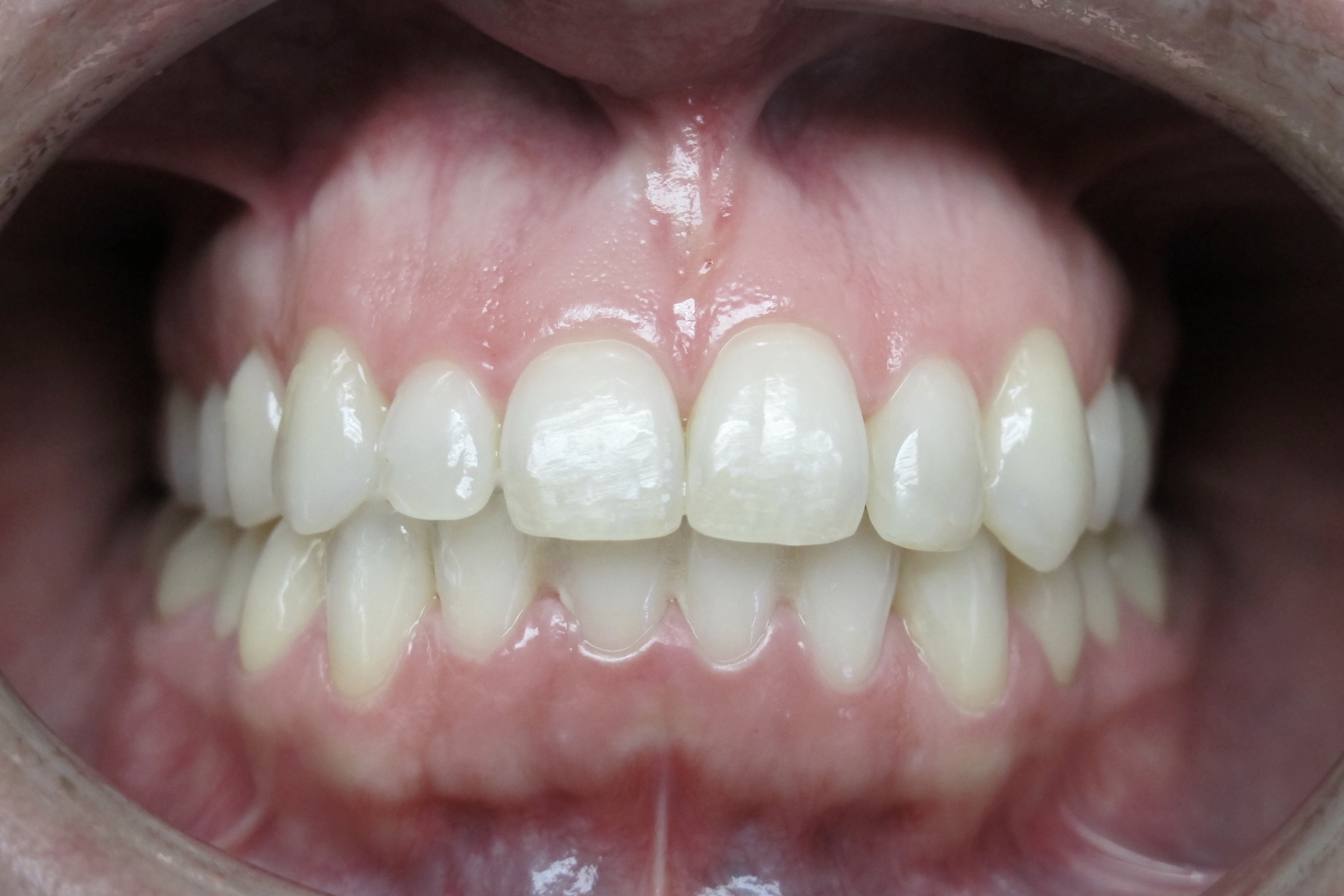
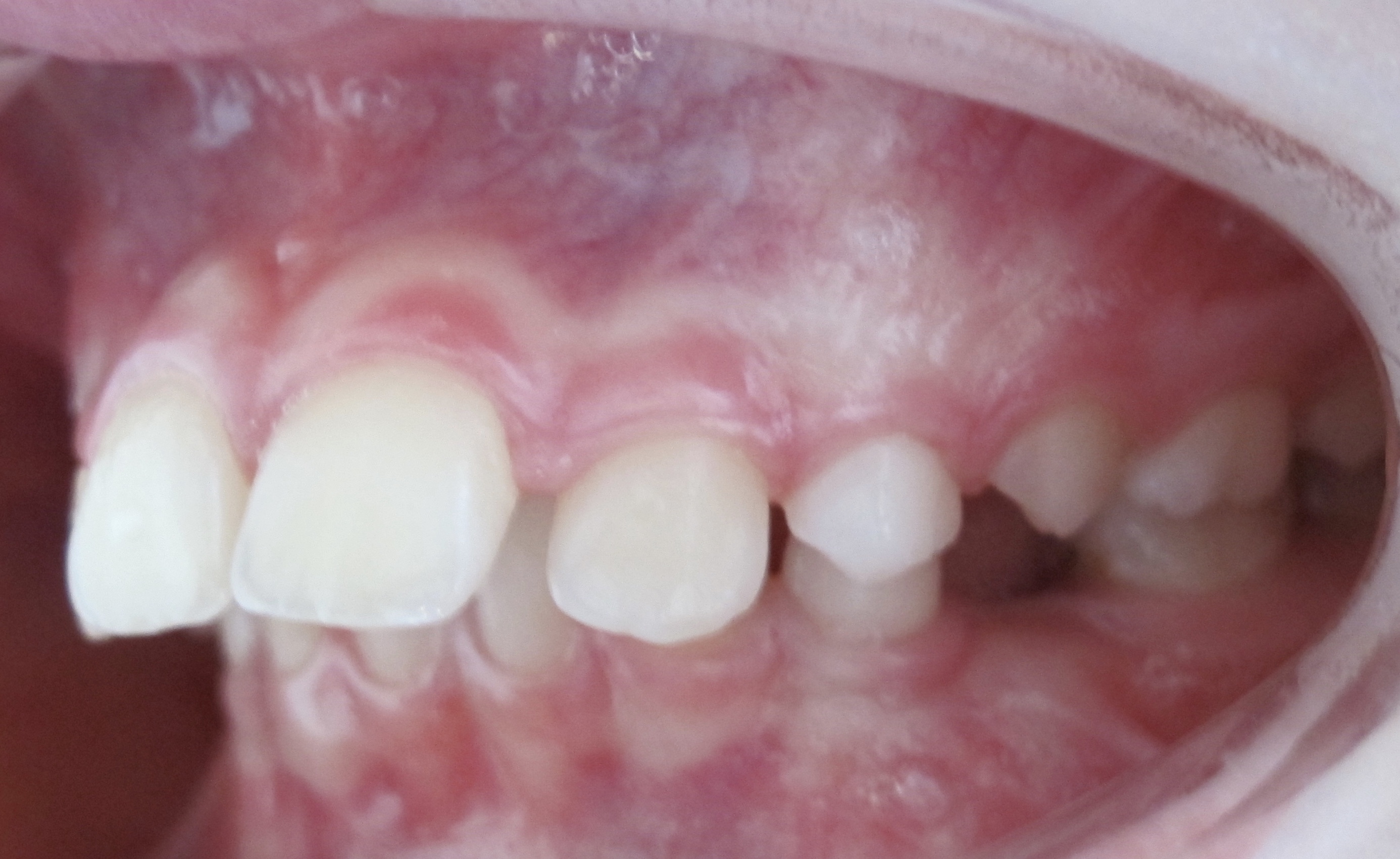
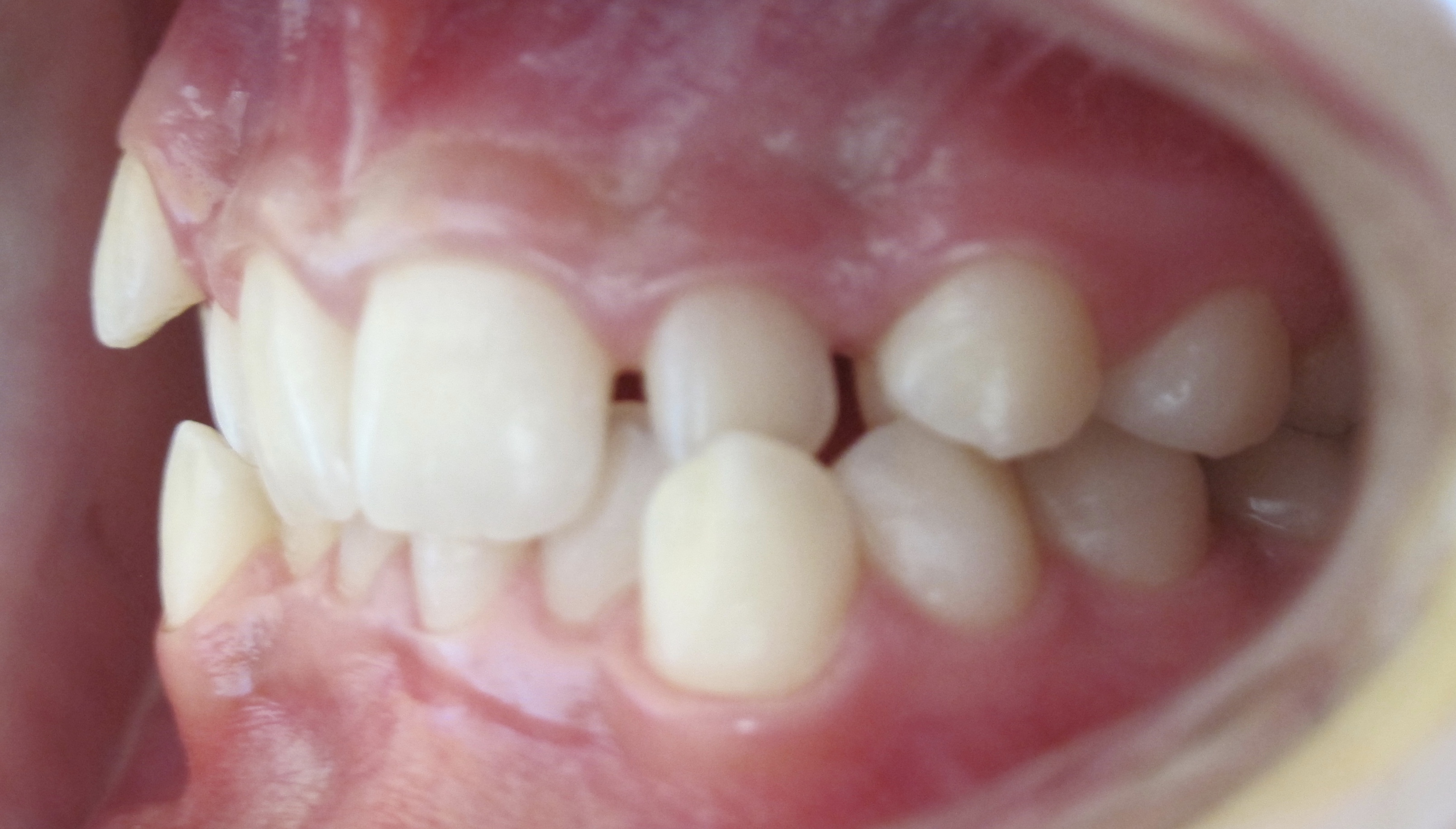
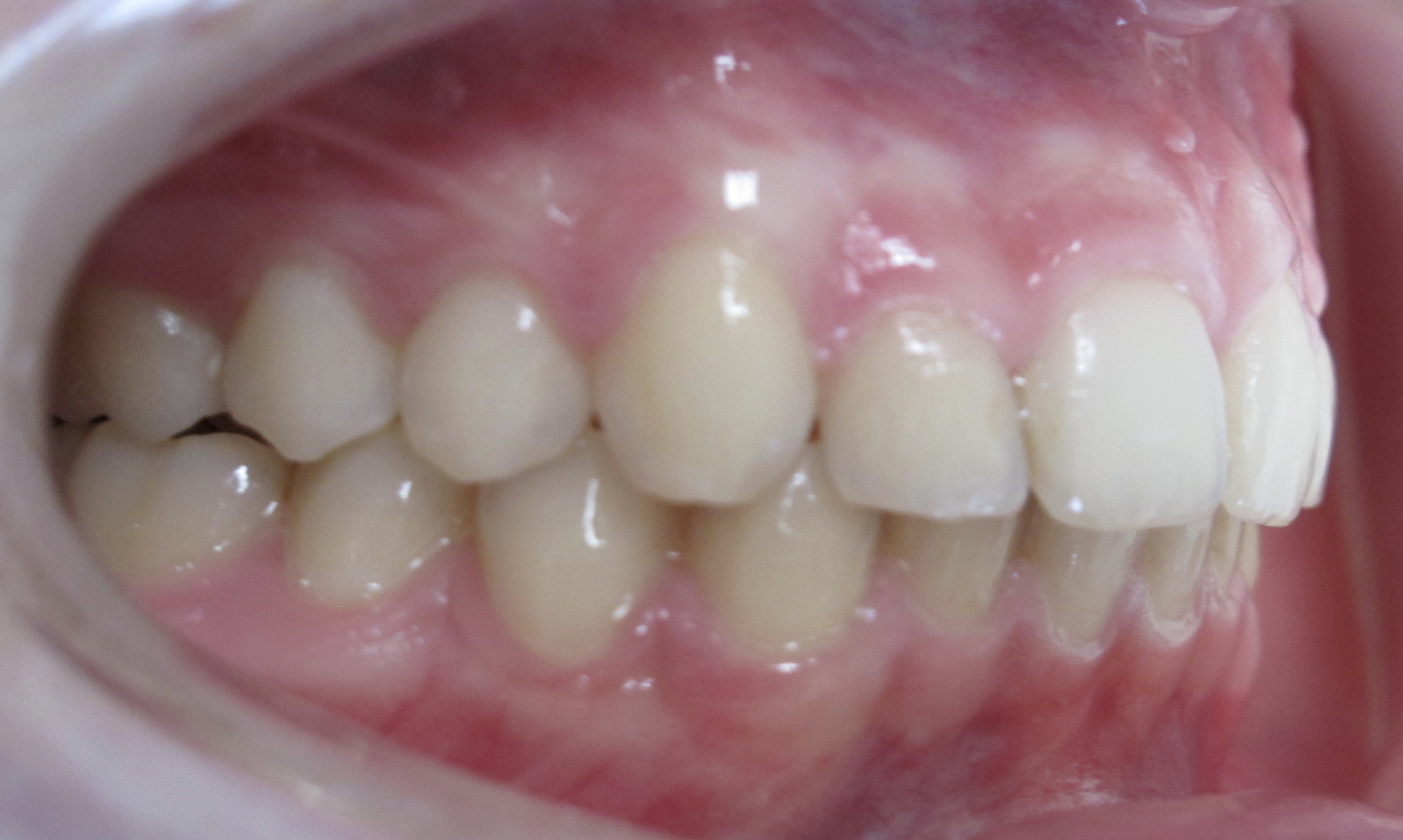
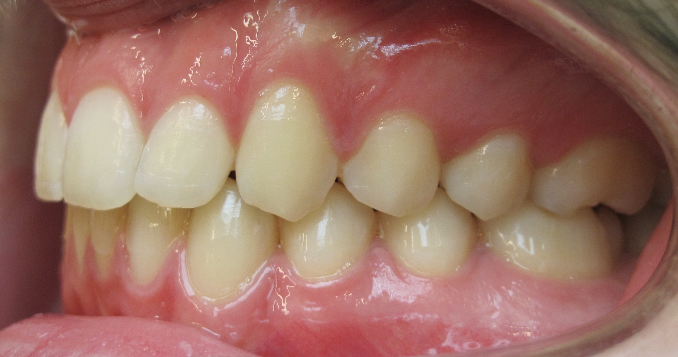
lara

Malocclusione in giovane adulta conseguente ad incongrua precedente estrazione di un premolare superiore di sinistra.

Si è provveduto ad espandere le arcate e nella superiore a ripristinare lo spazio originario del quinto per poi farvi un impianto

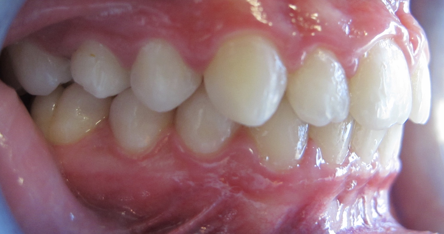
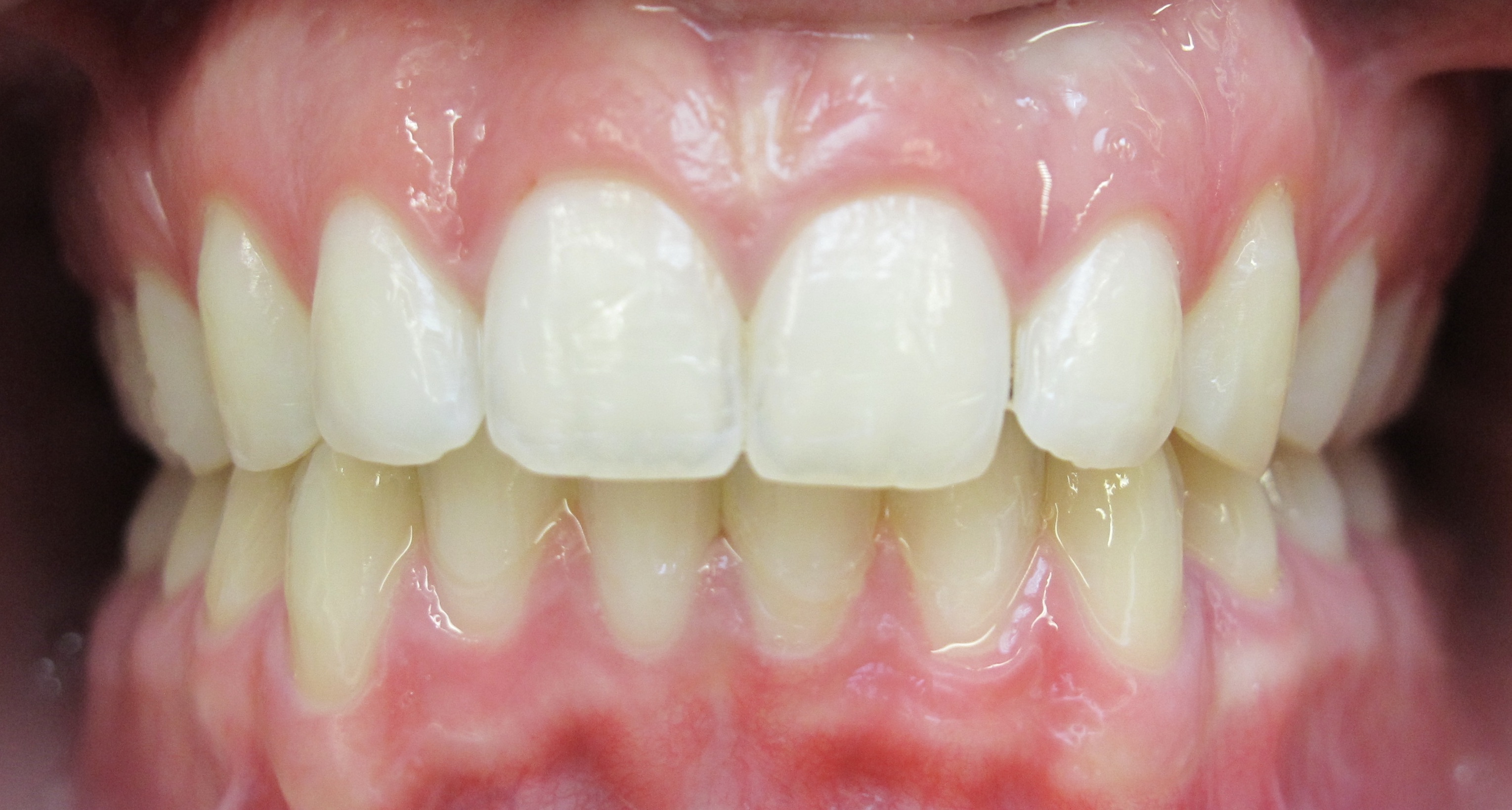
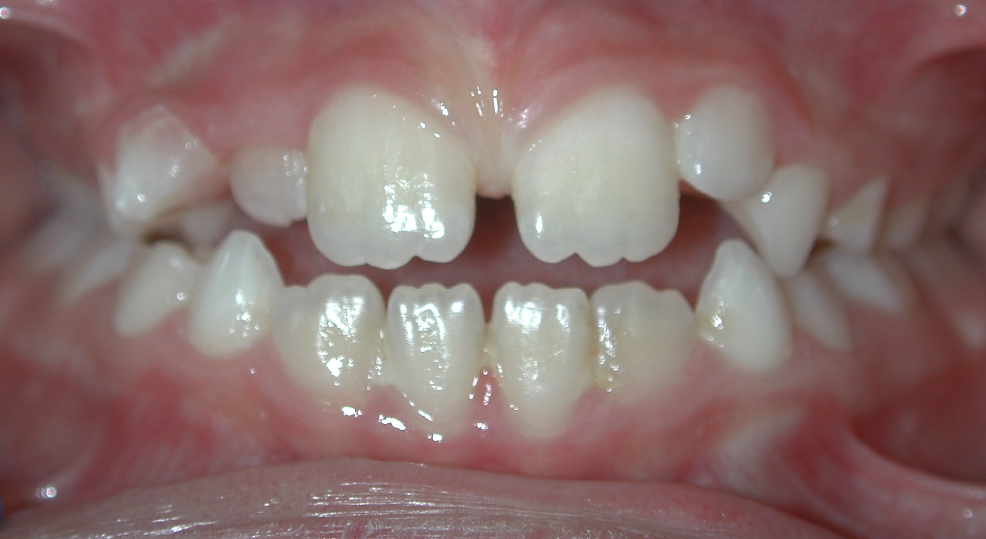
vittorio

Malocclusione di 2 classe dentale e scheletrica con importante morso coperto traumatico in giovane adolescente

 

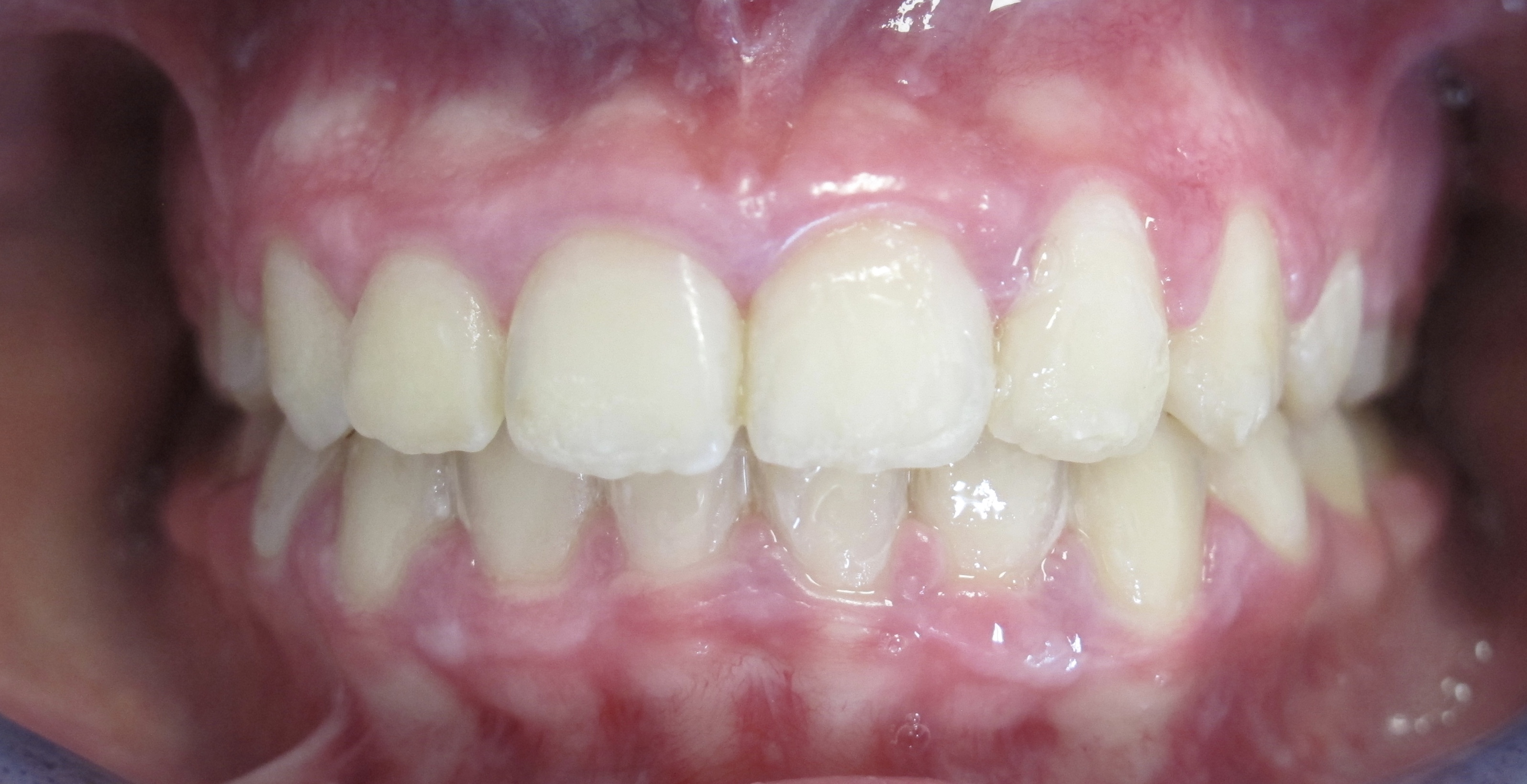
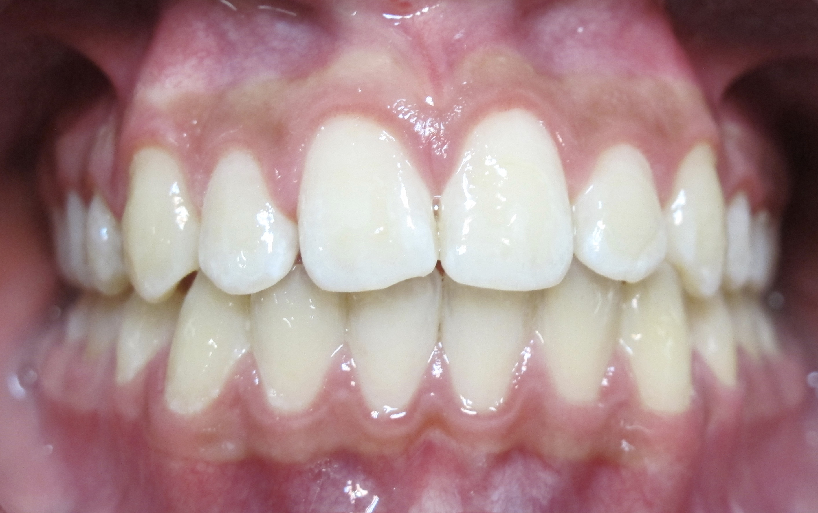
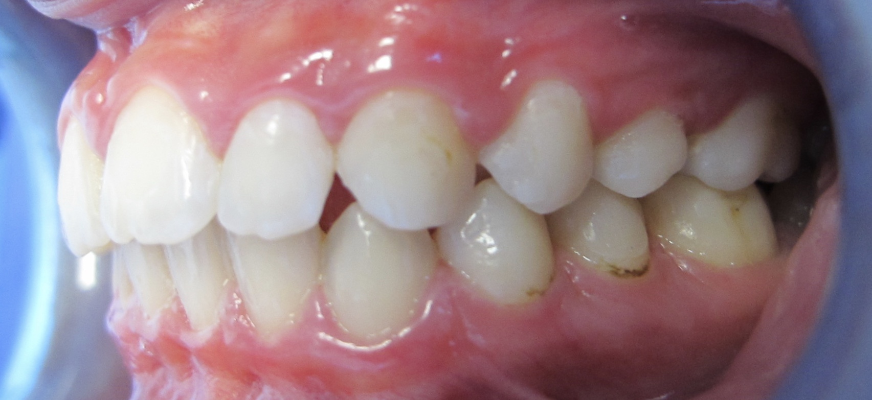
silvia

Malocclusione di 2 classe con lieve affollamento in adolescente

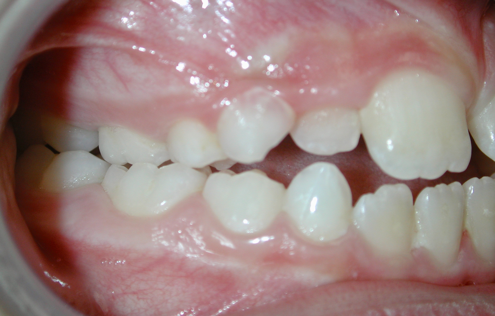
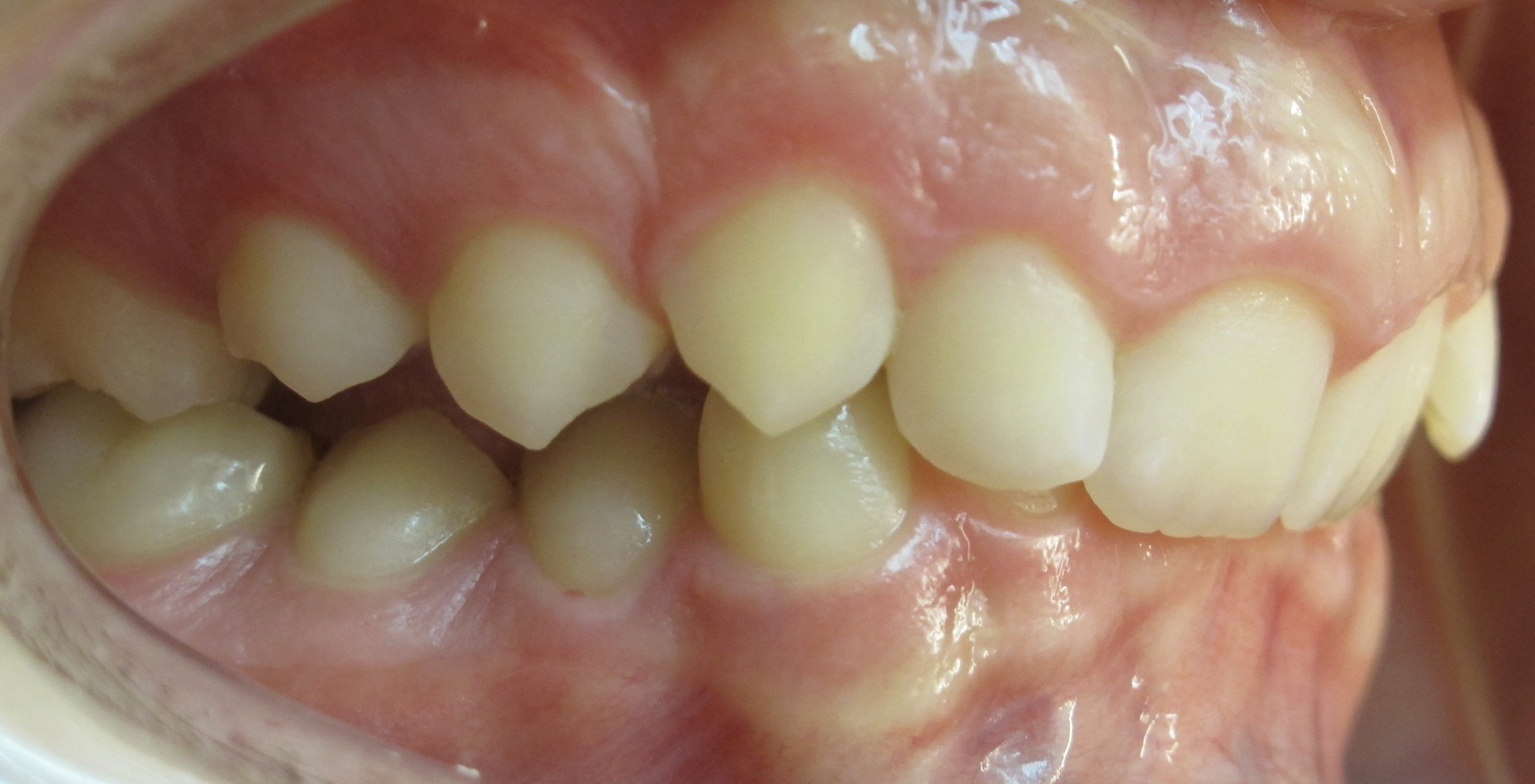
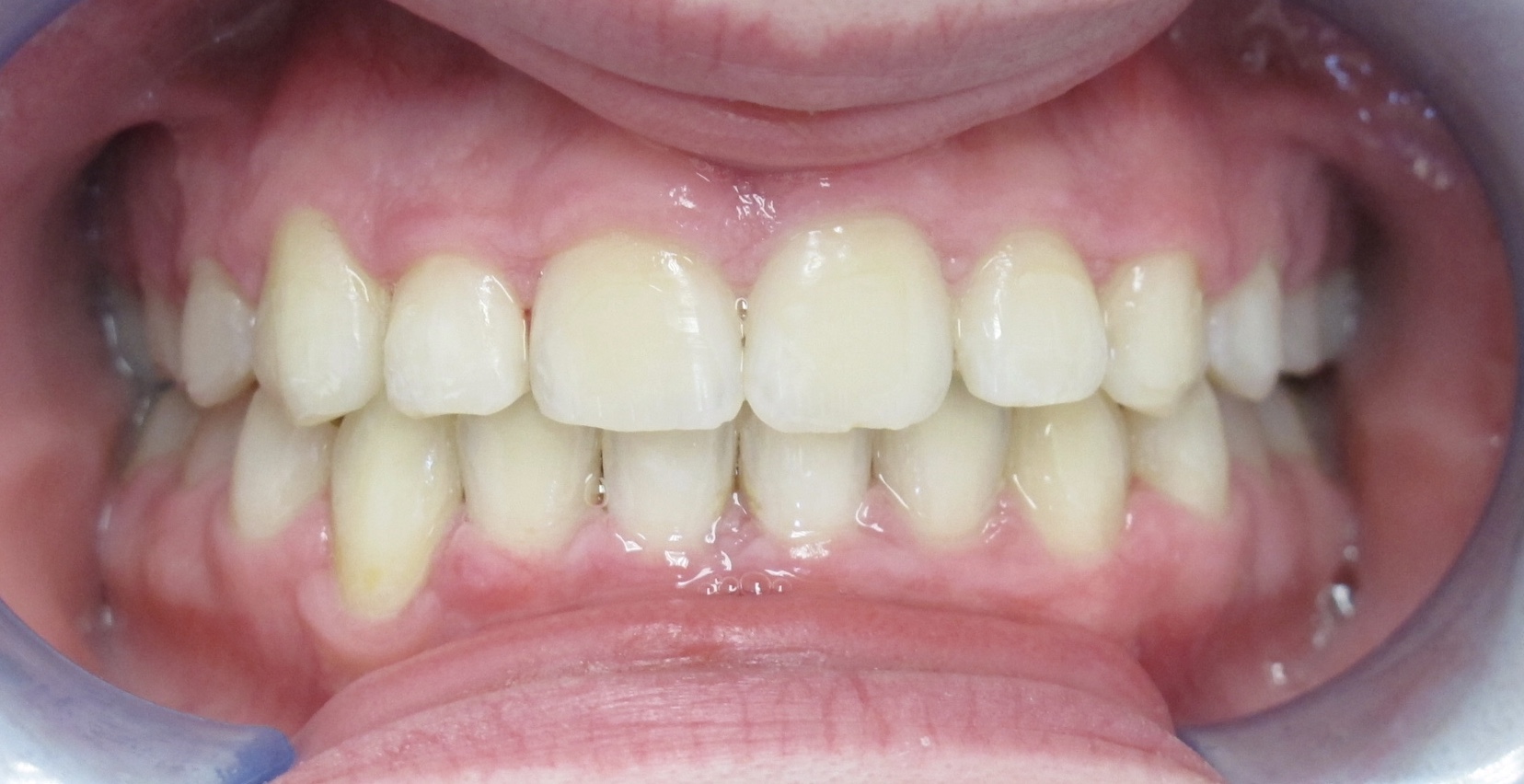
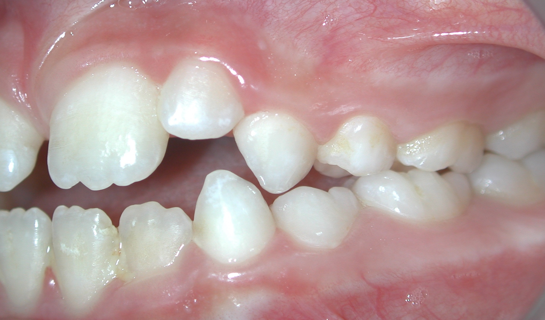
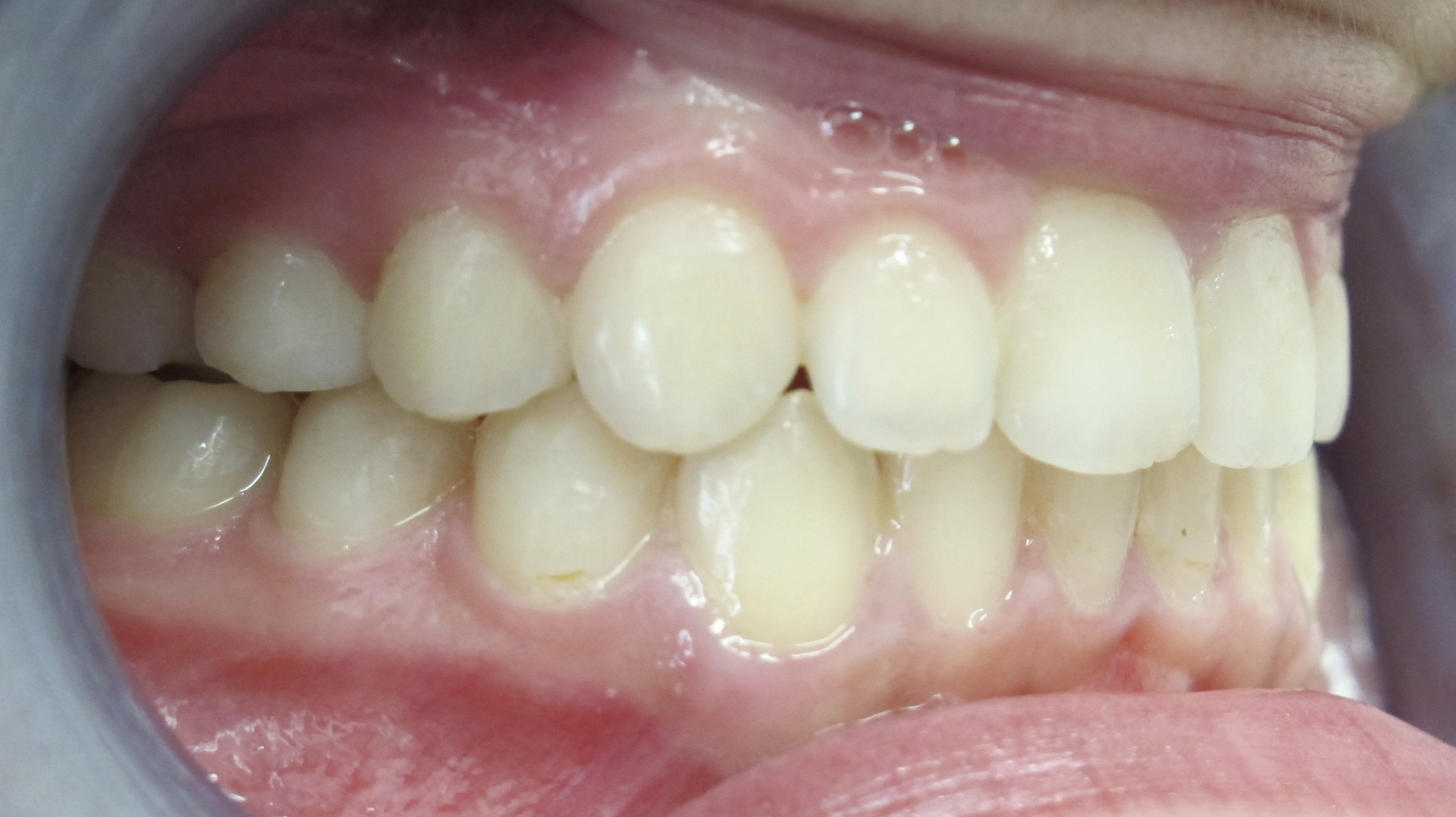
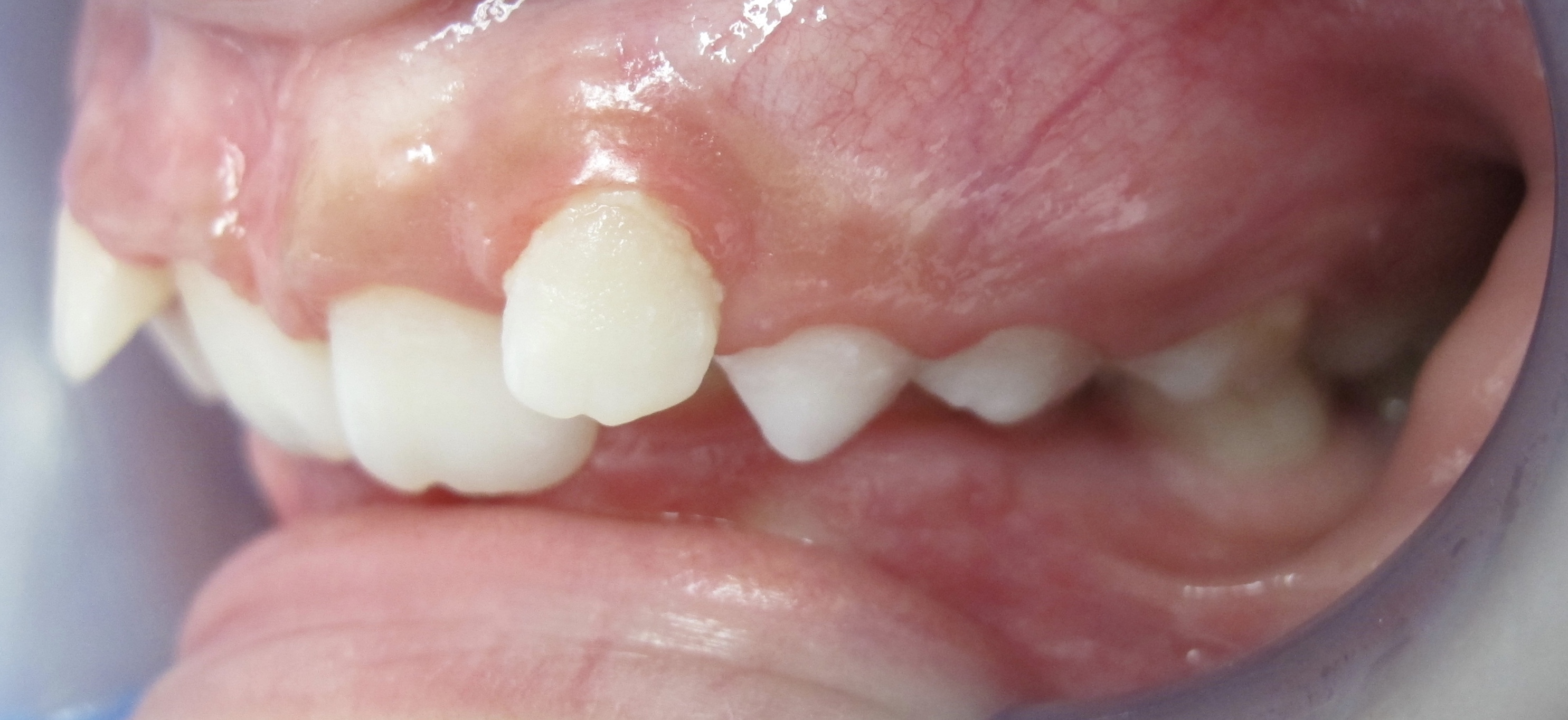
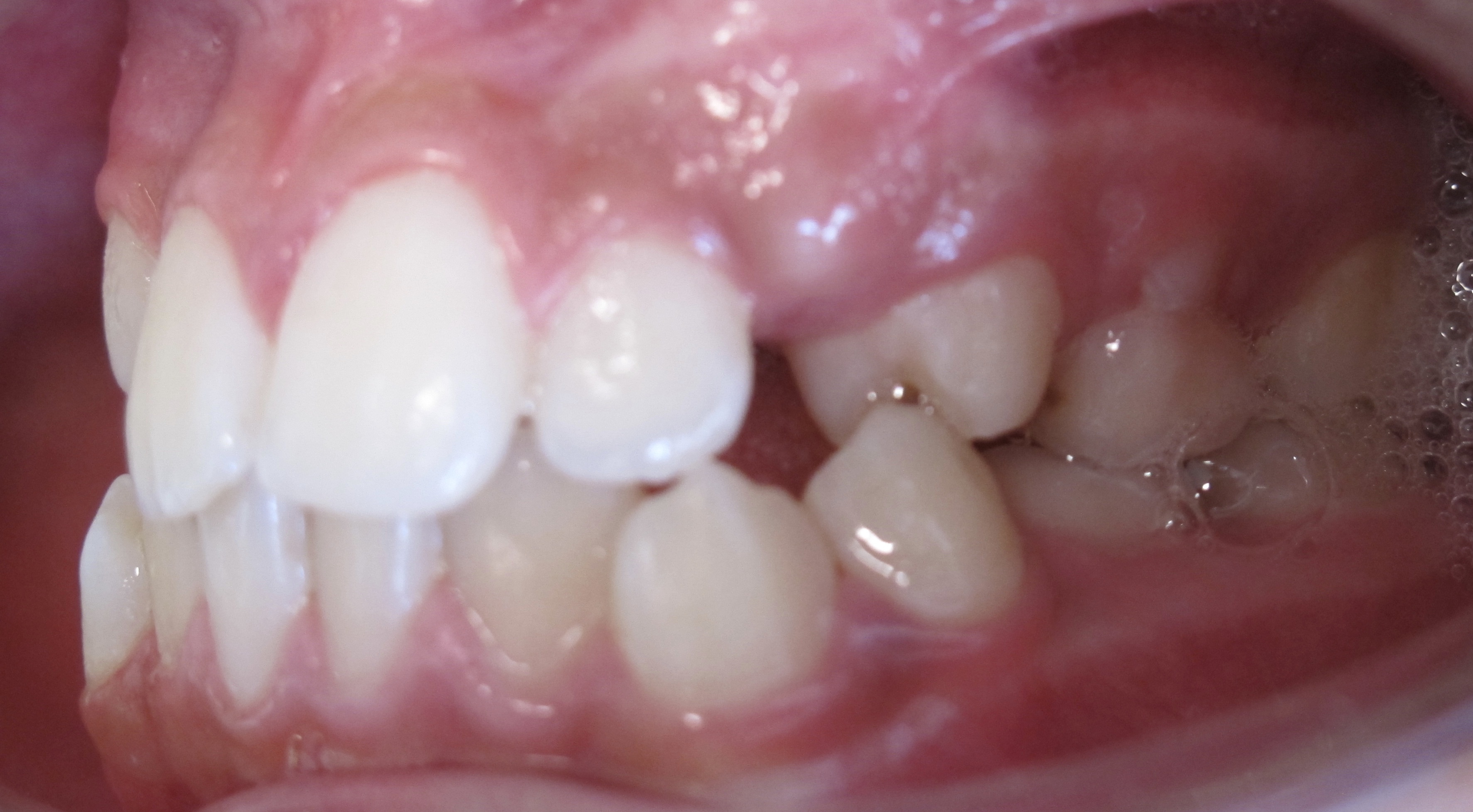
Giovanni

Malocclusione di 1 classe con mancanza di spazio in particolare modo nell’arcata superiore con i canini erotti fuori sede.

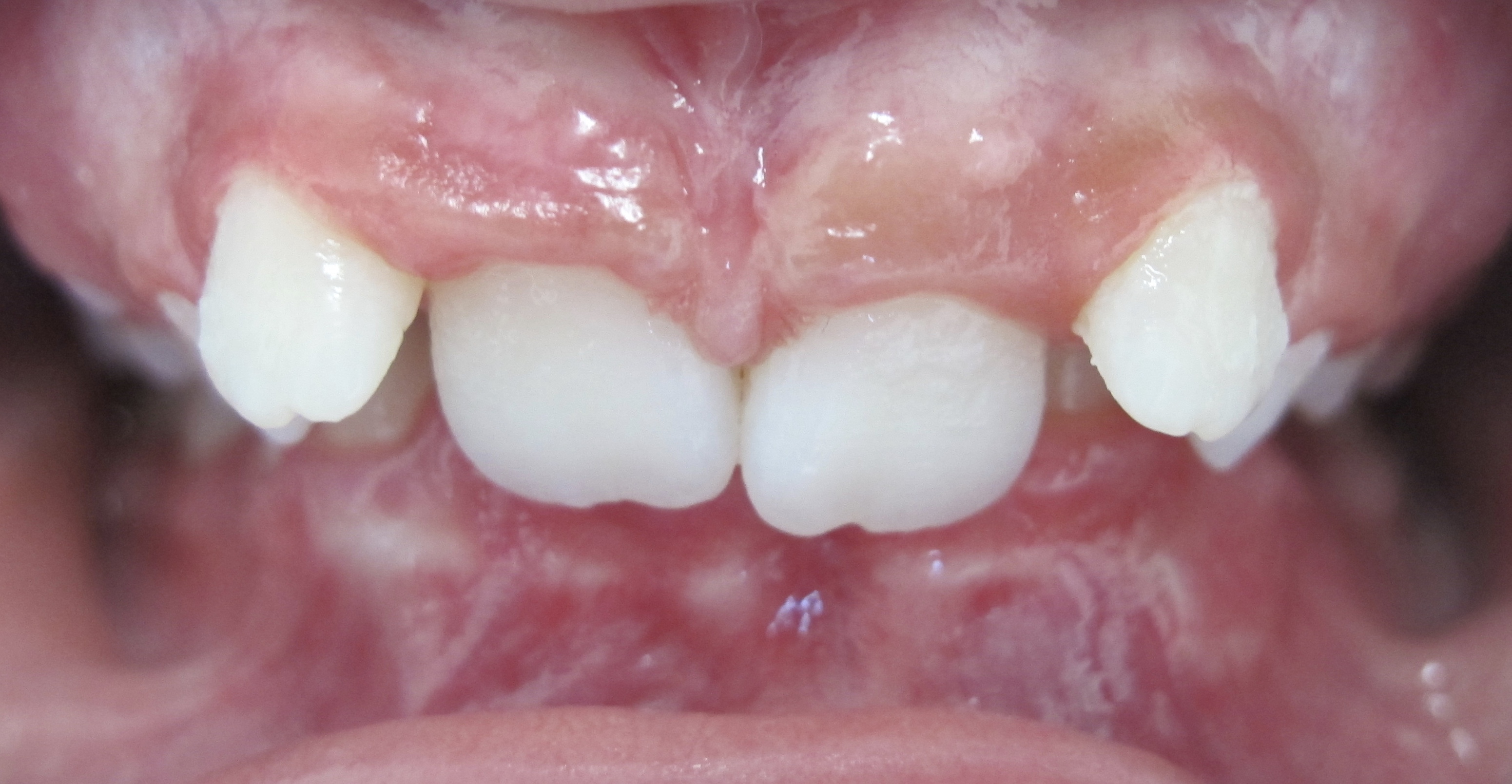
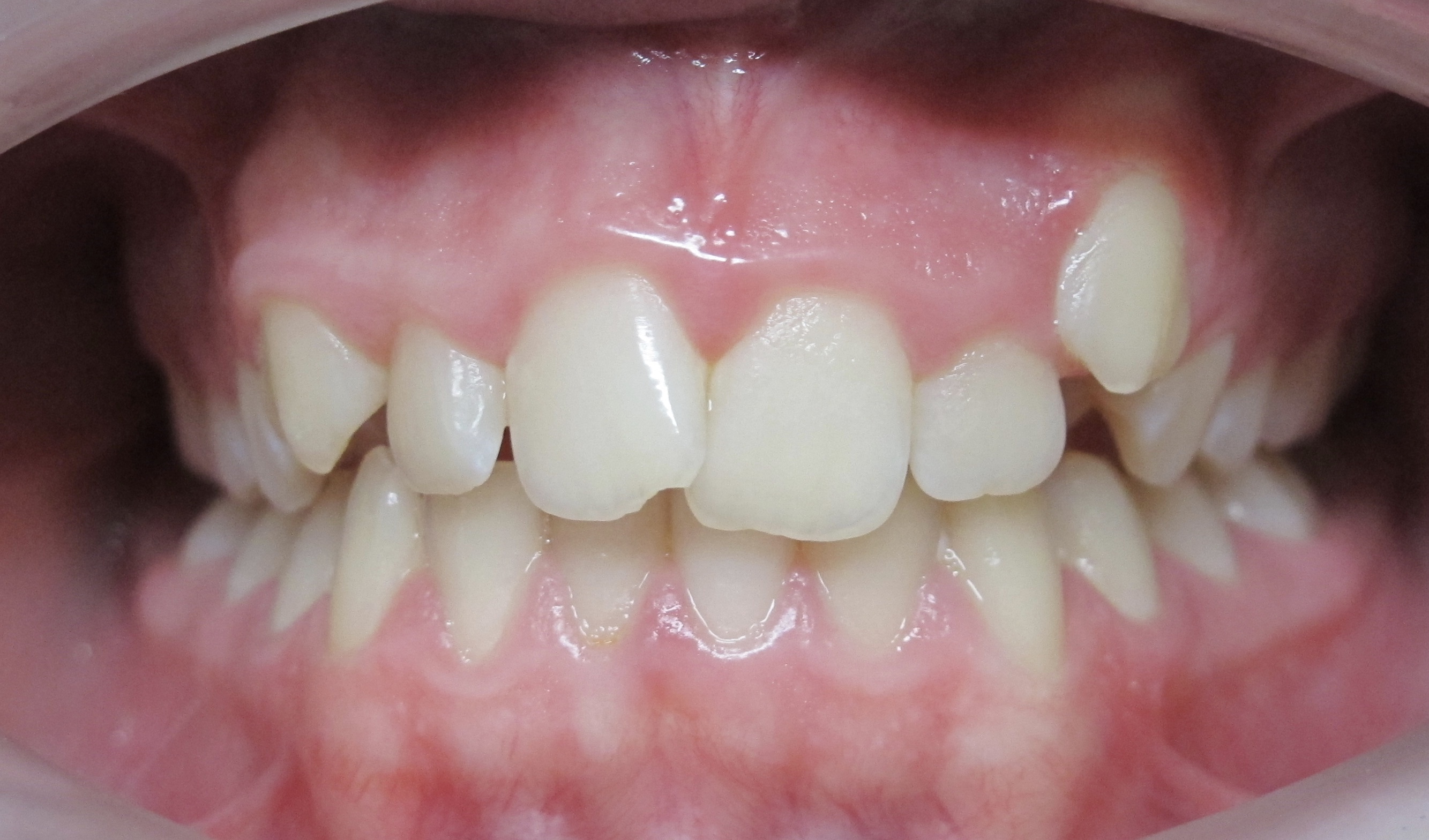
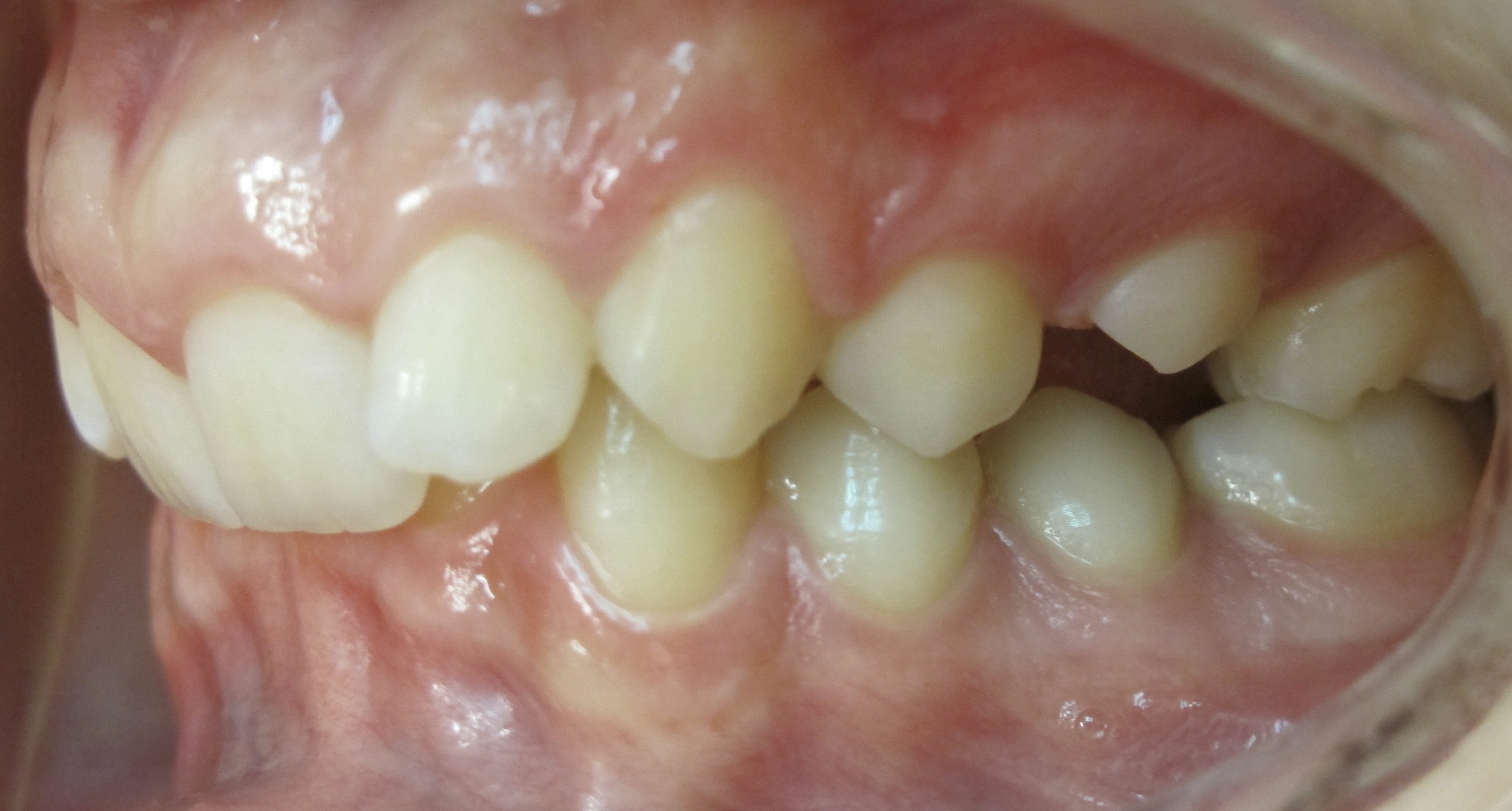
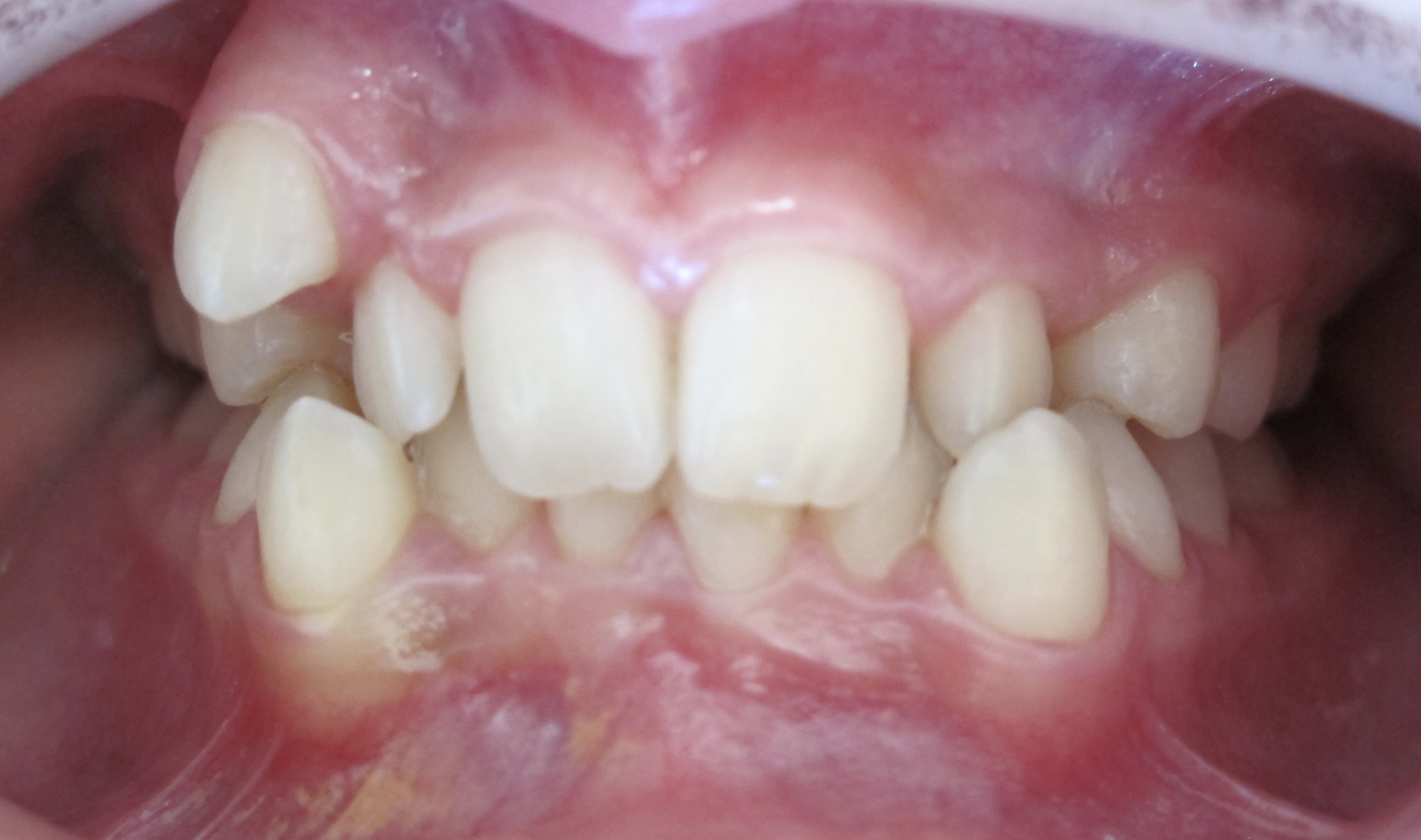
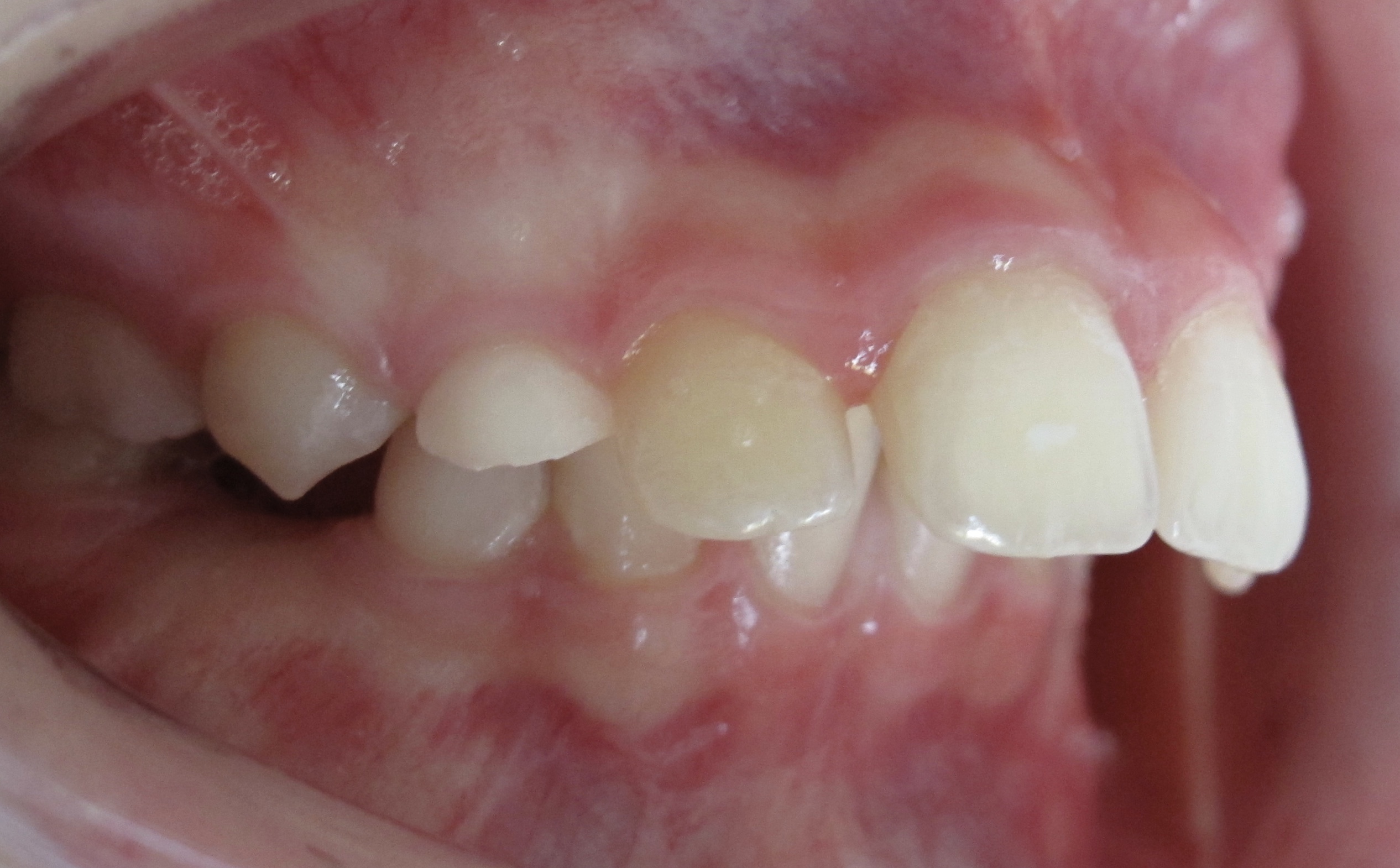
antonella

Malocclusione di lieve 2 classe con importante affollamento in entrambe le arcate con incisivo laterale inferiore di sinistra lingualizzato.

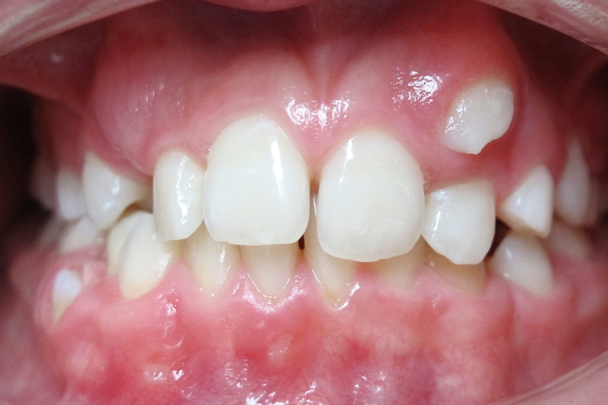
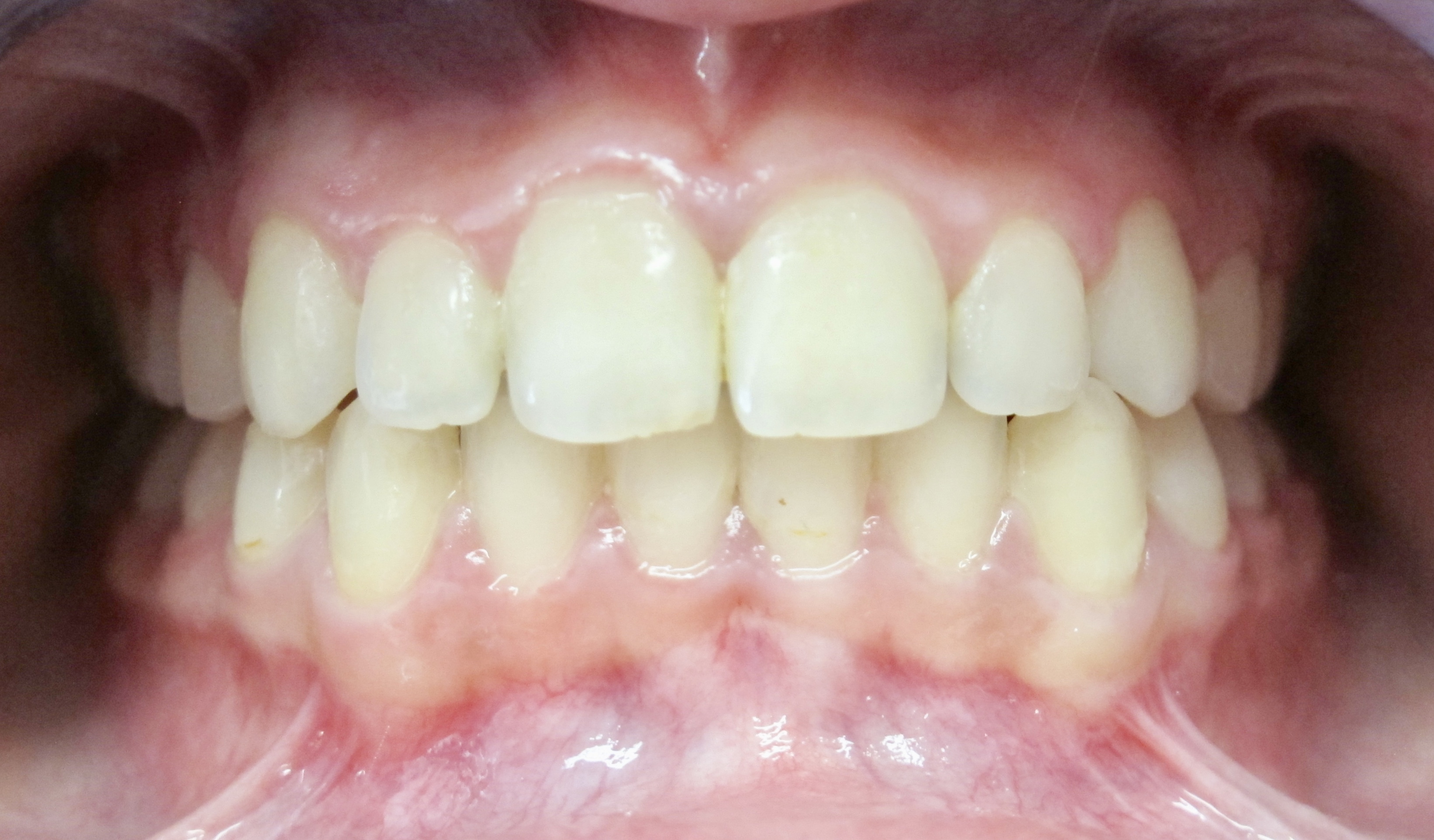
filippo

 

Malocclusione importante di 2 classe con morso coperto traumatico e incompetenza labiale.

 

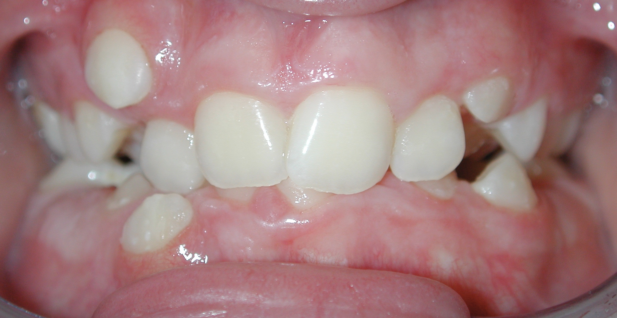
Matteo

Malocclusione di 1 classe in adolescente con eruzione completamente fuori sede del canino superiore di sinistra e del primo premolare inferiore di destra.

Maria

Importante malocclusione di 2 classe con morso coperto traumatico in giovane donna.

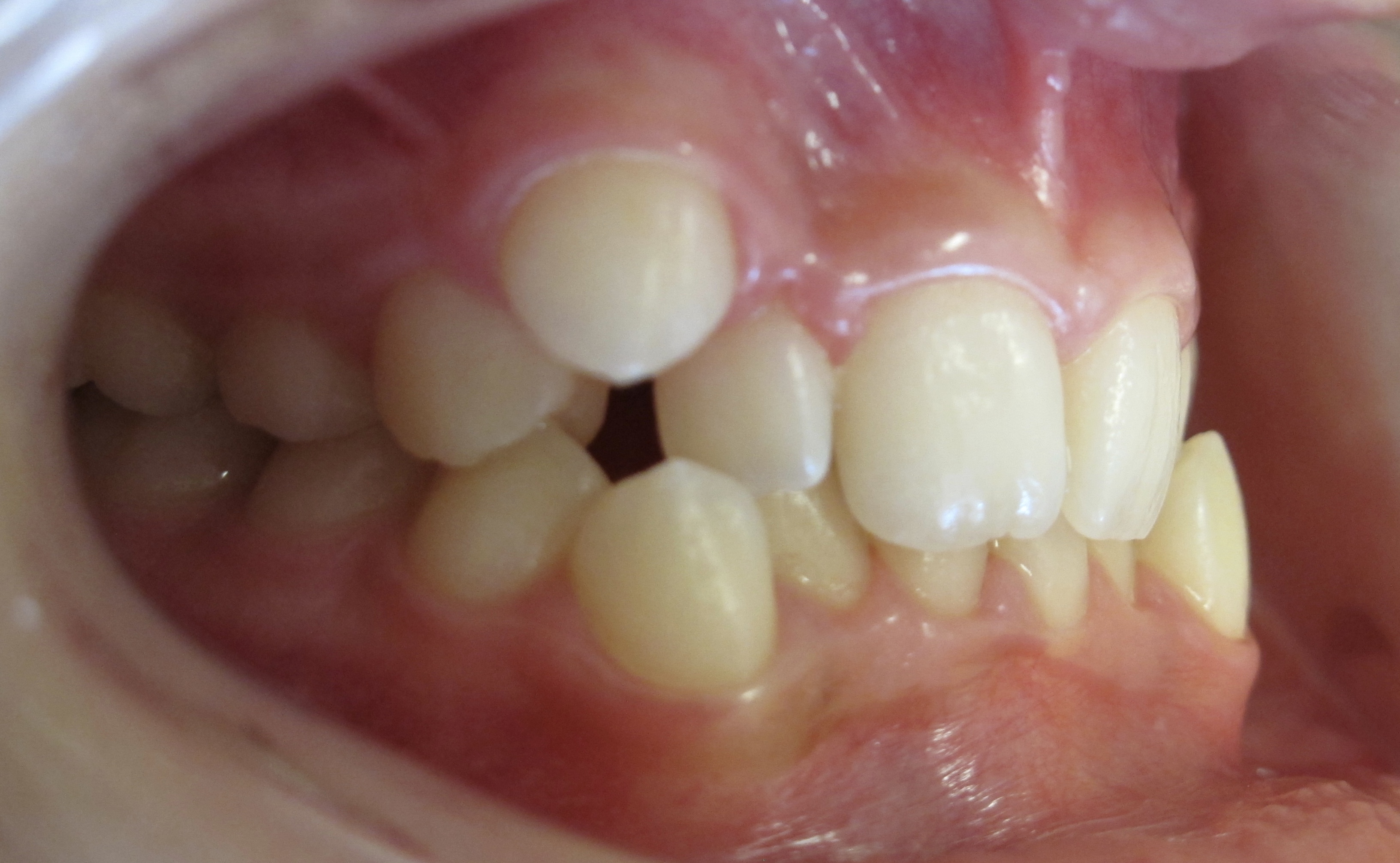
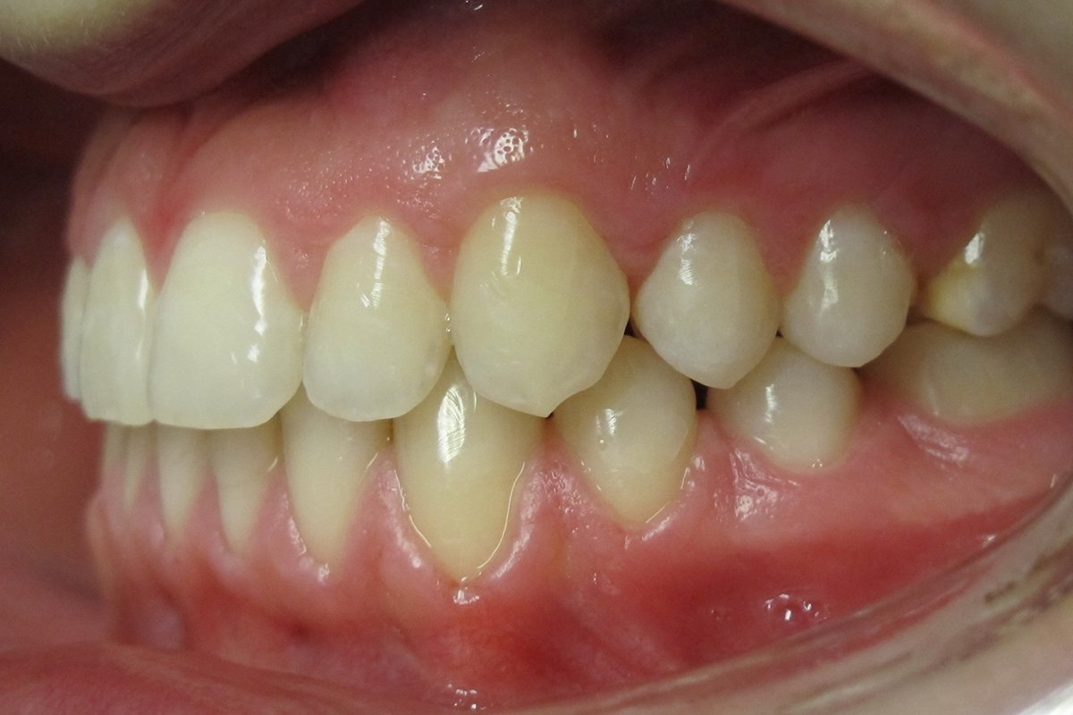
Mirko

Malocclusione di 1 classe con affollamento e morso crociato posteriore sinistro dall’incisivo laterale in poi.

anna

Malocclusione di 1 classe con importante affollamento e morso coperto traumatico.

francesca

Malocclusione di 2 classe con importante affollamento e canino superiore di sinistra incluso.

elisa

Malocclusione di 3 classe con morso aperto anteriore.

riccardo

Malocclusione di 2 classe con morso coperto traumatico.

federico

Malocclusione di 3 classe con importante affollamento.